Topuk dikeni hakkında bilinmesi gerekenler!
Sık görülen problemlerden biri olan topuk dikeni hayatı olumsuz yönde etkiliyor. Fizik Tedavi ve Rehabilitasyon Uzmanı Doç. Dr. Ahmet İnanır konu hakkında önemli bilgiler verdi.
Topuğunuzun altında can sıkıcı bir ağrı mı var? Yürümek sizin için bir işkence mi? Sabah kalktığınızda topuğunuzun üzerine basamıyor musunuz? O zaman büyük ihtimalle sizde topuk dikeni var demektir denilse de bu ağrı palntar fisitisdenen duruma bağlıdır.
Topuk dikeni oluşmasının sebebi ayak tabanında bulunan ve kemikleri örten kalın zarın (plantarfasia) normalden fazla gerilmesi nedeniyledir.
Sıklıkla kas ve bağ dokusunda görülen uzun süreli gerginliğin sonucudur. Sert yüzeylerde yürümek, koşmak veya zıplamaktan kaynaklanan tekrarlayıcı stres, aşırı kilo topuk dikeninin yaygın bir nedenidir.
Topuk dikeni, ayak ayak tabanında bulunan plantar fasia adlı zarın kronik olarak zedelenmesi sonucu oluşan bir sağlık sorunudur. Bir kemik hastalığı değildir. Ayağın iç kısmında bulunan ve ayağın uzun arkı denilen çukurluk sayesinde ayağa gelen yükler dengeli bir şekilde dağıtılarak yumuşak dokular ve kemiklere aşırı yük gelmesi engellenir.

Aşırı ayakta durma, ayağın arkının çökmesi, uzun uzun yürüyüşler, kötü ve yanlış ayakkabı kullanımı nedeniyle bu arkı destekleyen plantar fasiaadlı taban zarı aşırı gerginleşir. Bu zedelenme sonucunda (kronik zedelenme) plantar fasiada kalınlaşma ve özellikle topuk kemiğine yapıştığı yerde yumuşak doku ödemi meydana gelir.
Ayak tabanında oluşan bu romatizmal duruma plantarfasiit denir.Hastalık ilerlemeye başladıkça bu zar kalınlaşmaya başlar ve topuk kemiğine yapıştığı noktada kronik zedelenmeler ilerlemeye başlar.
Vücutta bu kısımda yeni kemik oluşturarak stresi en aza indirmeye çalışır. Oluşan kemik yapısı sivri bir şekil oluşturduğunda buna topuk dikeni denir.
TOPUK DİKENİ BELİRTİLERİ NELERDİR?
En önemli belirtisi ayakta oluşan ağrıdır. Bu ağrı özellikle sabahları daha da belirgin hale gelir. Sabah yataktan kalkınca bu ağrı nedeniyle kişi bir süre topuğunun üzerine basmakta zorlanır. Hastalık ilerleme gösterince sabah görülen ağrılar tüm gün kendini göstermeye başlar. Topuklu ve sert tabana sahip ayakkabıların giyilmesi zorlaşır. Daha da ağır hastalarda bu ağrılar dinlenme halinde bile devam edebilir.
TOPUK DİKENİ TANISI NASIL KONULUR?
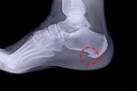
Topuk dikeni ilerlememiş evresindeyse muayene ile tanı konulabilir. Ayrıca MR ve bazen Ultrason görüntüleme ile taban zarındaki ödem ve kalınlaşma tespit görüntülenebilir.Basit bir röntgen ile de tanı koyulabilir.
Ancak önemli bir nokta var ki ayak altı ağrısı ve topuk dikeni iltahaplı omurga romatizmasının ilk belirtisi de olabilir.
Ayrıca Fibromiyaljisendromu olan hastalarda da görülebilir. Özellikle topuk arkasında da ağrı varsa ve tedaviye dirençli ise bu hastalık önemsenmeli ve mutlaka araştırılmalıdır.
???????
TOPUK DİKENİNDE KULLANILAN TEDAVİLER NELERDİR?
Topuk dikeni tedavisinde amaç ayağa binen basıncı azaltmak, ağrı ve iltihabı kontrol altına almak, doku iyileşmesini teşvik etmek ve yumuşak dokuların esnekliğini artırmaktır. İstirahat. Bol miktarda istirahat ayağa uygulanan baskıyı azaltarak etkilenen bölgedeki iltihabi durum ve ilişkili ağrı ve şişliğin azaltılmasına yardımcı olabilir.
Buz tatbiki. Buz tatbiki iltihabı baskılayarak ağrı ve şişliği azaltmaya yardımcı olabilir.Halka şeklindeki tabanlıklar topuktaki baskıyı almak için ayakkabının içine yerleştirilerek kullanılır. Gece ateli, Germe egzersizleri, Fizik tedavi, Darbe emici spor ayakkabı, ayaktaki yumuşak dokulara uygulanan basıncı hafifletmeye ve ağrıyı azaltmaya yardımcı olabilir.
Antienflamatuar ilaçlar, iltihabi süreci baskılayarak şişliği azaltmaya yardımcı olabilir. Ekstrakorporeal şok dalgası tedavisi (ESWT) Yüksek enerjili ses dalgaları ilgili bölgeye yönlendirilerek plantar fasyadaki hasarın iyileşmesine yardım edebilir. Radyoferkans uygulanabilir. Proloterapi. Hasarlı yumuşak dokuya dekstroz enjekte edilerek iyileşme süreci ne katkı sağlanır.
PRP topuk bölgesine enjekte edilerek doku iyileşmesi hızlandırılır. Akupunktur, lazer ışınları vücudun iyileşme ve tamir mekanizmalarını uyarır. Nadir durumlarda, topuk dikenini çıkarmak için ameliyat gerekebilir. Çoğu olguda diğer tedaviler yeterli olmaktadır ve ameliyata gerek kalmamaktır.
Topuk
Topuk dikeni
Topuk dikeni nedir
Ayak ağrısı
Topuk ağrısı
Kaynak: Diyarbakır Söz